

■特徴
* 美しさに増して強さと優しさを融合させたハイブリッド・レジン
* 「Tアクリレート」を採用し自然な色調と透明感が可能でプラークや色素が
付着しにくくなりました。
* 弾力性が高く割れたり、欠けたりしにくい性質をもち「ロカテック・システム」を
使用するため金属面との接着も強力。
* 適度の柔軟さもあるのでポーセレンのように対合歯を傷つけません。


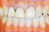
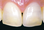
■CASE-1.(前装冠)
Sinfonyは前装冠であっても硬質レジン特有のツヤの消失が少なく、透明感が持続します。


[術前] [装着]

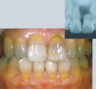
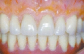
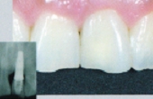
■CASE-2.(インプラント上部構造)
症例のような顕著な着色歯の場合も、Sinfonyは色を混和することで患者固有の色調を
忠実に再現することができます。
→
→
[術前] [アパッチメント装着] [術後]
症例のような顕著な着色歯の場合も、Sinfonyは色を混和することで患者固有の色調を
忠実に再現することができます。



[術前] [アパッチメント装着] [術後]

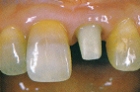
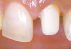
■CASE-3.(ジャケットクラウン)
→
→
[術前] [ファイバーコア築盛] [術後]



[術前] [ファイバーコア築盛] [術後]

■CASE-4.(ボーンアンカーブリッジ)
Sinfonyは衝撃を吸収し破折しにくいので、骨組織へのダメージを軽減します。
→
[作成] [装着]
Sinfonyは衝撃を吸収し破折しにくいので、骨組織へのダメージを軽減します。


[作成] [装着]

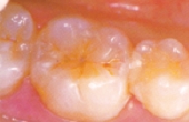
■CASE-5.(インレー)
インレー作成にかかる時間が短縮され口腔内セット時に破折することが少なく安心です。
→
[レジンセメントで装着]
インレー作成にかかる時間が短縮され口腔内セット時に破折することが少なく安心です。


[レジンセメントで装着]

■CASE-6.
義歯の特徴付け
上顎をステイン
義歯の特徴付け

上顎をステイン
■CASE-7.
インプラント上部構造
インプラント上部構造






