■グラディアフォルテの特徴
超高強度MFRナノハイブリッドタイプ
「グラディアフォルテ」は、「グラディア」で培われた技術(色調、透明性、対合歯にやさしい設計)を基に、最新のナノテクノロジーを応用しナノフィラー(超微粒子シリカ)を均一に分散配置させたことで、厳しい口腔内環境にさらされるクラウン表層で最も要求させる強度、耐磨耗性、ツヤの維持性などの耐久性を飛躍的に向上させました。
また、最終光重合後に加熱重合を行いますのでレジン成分が確実に硬化し、充分な性能を発揮します。グラディアフォルテでクラウンを製作する時のオペークはグラディアのオペークを使用します。
超高強度MFRナノハイブリッドタイプ
「グラディアフォルテ」は、「グラディア」で培われた技術(色調、透明性、対合歯にやさしい設計)を基に、最新のナノテクノロジーを応用しナノフィラー(超微粒子シリカ)を均一に分散配置させたことで、厳しい口腔内環境にさらされるクラウン表層で最も要求させる強度、耐磨耗性、ツヤの維持性などの耐久性を飛躍的に向上させました。
また、最終光重合後に加熱重合を行いますのでレジン成分が確実に硬化し、充分な性能を発揮します。グラディアフォルテでクラウンを製作する時のオペークはグラディアのオペークを使用します。
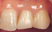
術前
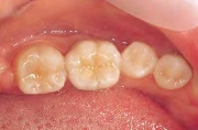
術後
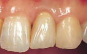
セット後
セット直後(左)では辺縁歯肉は退縮していますが、術後1年6ヶ月(右)には歯肉が隣在歯と同じ高さまで回復しています。また、着色・ツヤ落ちもなく良好な状態です。