


■アセタルの特性と適応。
* 強くて柔軟性があり、破折しにくい。
* 歯や色調に合わせることができ、審美性に優れている。
* 色調が安定し、光沢研磨が簡単にできる。
* 耐疲労性に優れ、装着感がよい。
* 生体適合性がよい。モノマーを含有せず、アレルギー反応を起こさない。
* 汚染しにくく、耐細菌性がある。
* 気泡を生じず、唾液浸潤がない。
* 耐水性に優れる。
* 他の材料とのコンビネーション使用が可能である。
* 多くの歯科用装置に応用できる
* 強くて柔軟性があり、破折しにくい。
* 歯や色調に合わせることができ、審美性に優れている。
* 色調が安定し、光沢研磨が簡単にできる。
* 耐疲労性に優れ、装着感がよい。
* 生体適合性がよい。モノマーを含有せず、アレルギー反応を起こさない。
* 汚染しにくく、耐細菌性がある。
* 気泡を生じず、唾液浸潤がない。
* 耐水性に優れる。
* 他の材料とのコンビネーション使用が可能である。
* 多くの歯科用装置に応用できる


金属床の唇側クラスプだけをホワイトクラスプ
にて作成した例
にて作成した例

下側クラスプは金属床のメタルクラスプを使用

これだけでも審美性は格段に向上するが、
クラスプ全体をホワイトクラスプにしてもよい
クラスプ全体をホワイトクラスプにしてもよい

右側クローズアップ。クラスプはやや肉厚に
作成する。

右側クローズアップ。強度と弾性で十分に
機能を発揮する
機能を発揮する

1歯欠損局部床。デザインに自由があっても、
メタルを使用することには変わりはない

ホワイトクラスプと人工歯を一体注入型で
アセタルにて作成
アセタルにて作成

クラスプと床にアセタルを使用した例

ホワイトクラスプを使用した
パーシャルデンチャー
パーシャルデンチャー

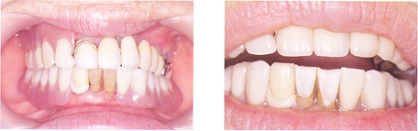
左の顔貌写真。下顎は両側性のパーシャル
デンチャーでホワイトクラスプを使用

下顎のパーシャルデンチャーにホワイトクラスプ
を使用。上顎に比較して優位さは明らかである
を使用。上顎に比較して優位さは明らかである

変色部分はマニキュアを行って審美性を改善。
使用材料E-ラミネート

パーシャルデンチャー舌面

②③④欠損①ホワイトクラスプ⑤PG線クラスプ





