■特徴
* 金属を使用しないオールセラミックス。
* 光透過性があり高い審美性が得られます。
* 金属の露出や、金属イオンの影響による歯肉の変色の心配がありません。
* 金属アレルギーの心配がありません。
* 熱伝導率が低く知覚過敏が起こりにくくなります。
* 強度が高いので破折の心配が少なくなります。
* 金属を使用しないオールセラミックス。
* 光透過性があり高い審美性が得られます。
* 金属の露出や、金属イオンの影響による歯肉の変色の心配がありません。
* 金属アレルギーの心配がありません。
* 熱伝導率が低く知覚過敏が起こりにくくなります。
* 強度が高いので破折の心配が少なくなります。
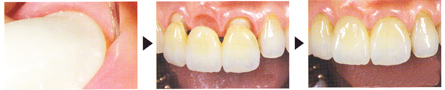
■前歯クラウン
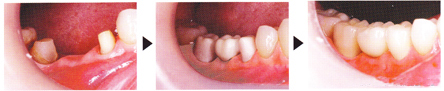
■臼歯3ユニットブリッジ
■前歯3ユニットブリッジ